1.基本情况
面向生物医学研究、药物筛选及畜牧育种中对标准化、高仿生体外模型的迫切需求,团队突破现有类器官培养技术重复性差、成本高、批次间变异大等瓶颈,建立了一套高效、稳定、可扩增的动物源性类器官制备体系。该体系包括优化的定向分化诱导方案、成分明确且稳定的专用培养试剂(培养基及分化诱导因子组合)、标准化的制备操作流程等。利用该体系,可从胎盘、子宫、乳腺等少量动物组织中稳定制备出结构完整、功能仿生的类器官。
2.技术特点
(1)高一致性:通过化学定义明确的培养基配方与标准化的诱导程序,显著降低类器官培养的批次间差异,提高实验可重复性。
(2)高效率与低成本:通过优化的组织处理与干细胞富集方法,提升类器官的出成率与生长速度;关键试剂自主研发,可比肩目前市场上销售的商品化试剂效果。
(3)功能仿生性强:制备的类器官在关键组织结构、细胞类型比例及分泌、代谢、屏障等功能方面高度模拟原生组织。
(4)配套试剂商品化:将核心培养成分与操作流程集成于“即用型”试剂,便于标准化推广与应用。
3.应用范围
(1)生物医药领域:疾病建模、药物毒性筛选、药效评估、个性化医疗。
(2)畜牧兽医领域:畜禽病原感染机制研究、营养代谢评估、育种性状筛选、替抗产品开发。
4.知识产权
目前已授权类器官专利由美加墨世界杯官网单独持有。后续可与合作方共同申请相关专利,并根据需要规划申请商业秘密保护或商标。
5.所处阶段
研发后期,正向小试阶段过渡。已成功建立小鼠、牛胎盘、卵巢及子宫类器官的稳定制备流程,完成多批次重复验证。相关试剂与市场销售的商业化试剂相比,具有相同的构建效果。
6.合作需求
投入经费合作研发,共同开发特定物种或组织类器官模型。
技术或试剂生产许可。

图1 本技术体系制备的牛胎盘类器官(左)与商品化试剂制备的胎盘类器官(右)

图2 本技术体系构建的类器官表达合胞体滋养层细胞标志蛋白CD71和CD46

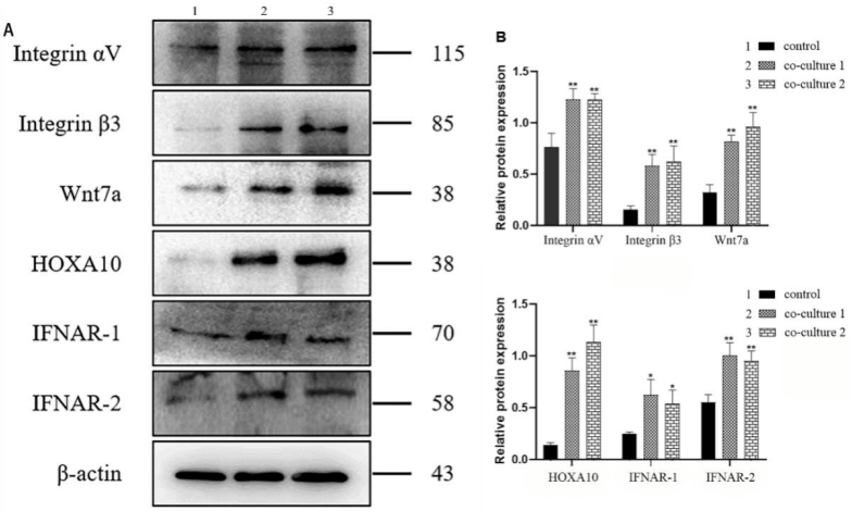
图3 本技术体系构建的牛胎盘类器官能够促进子宫内膜上皮细胞子宫容受性因子的表达,具备初步内分泌功能。